いしかり市民カレッジ

トピックス

トップページ トピックス まちの先生企画講座1 『舌を鍛えて若々しさと健康を』


トピックス

まちの先生企画講座1 『舌を鍛えて若々しさと健康を』

第1回「正しい舌の位置を覚えましょう」

2011/05/31

  5月30日(月)まちの先生企画講座1 『舌を鍛えて若々しさと健康を』の第1回「正しい舌の位置を覚えましょう」を石狩市公民館で行いました。講師は、ボイス・トレーナーの相馬絵梨さん、受講者は19名でした。

 講師の相馬さんは、石狩市在住で、ヴォーカル・ユニット【かねあい・URLhttp://kaneai.jimdo.com/】を結成して道内外でライブ活動を行うと共に作詞、作曲、レコーディング等も手掛け、これまで8枚のCDをリリースされているそうです。また、ゴスペルグループ、日本民謡教室に所属されたこともあり、北海道民謡連盟公認・歌2級の資格も取得されているそうです。ボイストレーナーとしては、発声法を発展させて口腔筋機能訓練や体内機能を加味した新しいボイス・トレーニング法の完成を目指していらっしゃいます。
これまで、札幌市民カレッジ企画講座(2009年、2010年)や札幌市立大通高校講座の講師を勤められています。

 相馬さんは、にこやかに第一声「こんにちは、ボイス・トレーニングというと、あ、あ、あ~などと先ず発声練習をやるのが普通ですが、私はそんなことはしません。先ず最初に体の仕組みを説明して、楽に声を出せるように体質改善していきます。ですから、これまで私の講座を終えた方からは、風邪を引かなくなった、二重あごが取れた、噛むのが楽になった、などという声を聞いています、皆さんよろしくお願いします」

003kkopi.JPG 続いて「それでは皆さん、先ず一人ひとり自己紹介をお願いします。お名前、ご住所、そしてどうしてこの講座に参加したのかを話して下さい」

 それを受けて受講者は、順繰りに立って自己紹介。講座に参加した動機は、最近誤嚥するようになった、感じ良く話したい、表情豊かになりたい、など様々でした。

005kopi.JPGのサムネール画像006kopi.JPGのサムネール画像 「皆さん色々な動機でこの講座を受けられたのですね。それでは、最初に舌の役割についてお話します」

 「舌には①味を感じる(甘い、にがい、しょっぱい、すっぱい、約5,000個の味蕾がある)②口に入った物を認識する(髪の毛1本でも口に入れば分かる)③咀嚼を補助する(噛みやすいように食べ物を移動させる)④食塊(しょっかい、唾液と食物を混ぜ合わせた呑み込む前のかたまり)を作る⑤構音(ある音を出すために舌は対応した位置をとる)などの役割があります」

 「それでは今度は自分の舌を観察してみましょう、皆さん手鏡は持ってきましたか?」受講者は、それぞれ、手鏡で舌を観察。

007kopi.JPG 「舌の表面を観察して下さい、ざらざらしていますね。食物を乗せて運びやすい為ですが、その為にゴミも引っかかりやすいのです」

 「皆さん、白いものが見えませんか?舌苔(ぜったい)と云いますが、これはなんだと思いますか?食物のカスや剥がれた粘膜、血球成分、細菌などが混じって出来るものです。これが多いと口臭が強くなると云われています」

 「唾液が少ないとこの舌苔が増えると云われています」

 「そこで唾液のお話です。唾液には色んな働きがあります。

・食べ物と混ぜて飲み込みやすくします・味覚を感じさせます(味蕾は液体でしか味を感じないのです)・抗菌作用があります・虫歯を予防します・口の中や喉の粘膜を保護します」

 「唾液にはこんな風に様々な働きがありますが、その唾液が少なくなることがあります」

 「唾液が少なくなる原因には、ストレスがある、薬を飲んだ、噛む回数が少ない、会話が少ないなどがありますが加齢による減少もあります、また口で呼吸する人も少なくなります」

 ここで、口呼吸に関連して、空気の取り込みを行う鼻についての説明がありました。

 「母乳を吸って育つ哺乳動物は、鼻で呼吸するようになっているのです。鼻は粘膜や鼻毛などでほこりや細菌などを70%もカットすることが出来るそうです。また取り入れた空気を保温する機能もあります。ですから、鼻は家電に例えると、掃除機、エアコン、加湿器、空気清浄機などの機能をすべて備えているのです」・・・なるほど・・・

 「口で呼吸していると、前歯が乾燥し、着色汚れのステインが付着しやすくなり歯が茶色っぽくなったりしますが、それではどうして口で呼吸してしまうのでしょう?原因としては、次に様な事があげられます」

・鼻がつまっている
・口のまわりの筋肉が衰えている(自然に口が開いてしまう)
 ここで、受講者から「そういえば今の若い人たちは電車の中などでよく口を開けている」との声。それに対して「母乳を飲むためには口の筋肉を使わないと飲めませんが、ミルクだと力を入れなくても飲めるので、口の筋肉が鍛えられないのです」と相馬さん。

 「ちなみに私は娘を母乳で育てていますので、ときどき口を開けたりしていますが、呼吸はちゃんと鼻でやっています」

 「舌と表情筋のトレーニングをすると、口がしまるようになります。また、舌の動きが良くなって、唾液の量も増えるのです」

 「もうひとつ、舌を正しい位置に置くということも大切なのですが、それは休憩後に」

 と、ここで10分間の休憩に入りました。

 

 「さあ、休憩も終わりましたのでこれから、正しい舌の位置、についてお話します」

 「皆さん、軽く口を閉じてみてください。そうすると、舌はどの位置にありますか?」

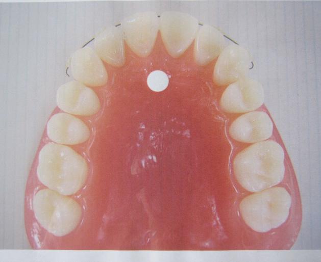
 と、相馬さんは一人ひとりに聞いて廻られました。同時に、口蓋に印のついた写真が廻されました。

008kopi.JPG011-1.JPGのサムネール画像 皆さんの答えは、舌は宙に浮いている、上の歯の近くにある、歯についているなど様々です。

 「皆さん様々ですが、実は舌が歯につかないのが正しいのです」

 「今度は私がお見せしますので、私の舌がどこについているか、見てください」

 相馬さんは、今度は自分が口を開けて受講者のところをもう一度廻り、舌の位置を確認させました。

009ko.JPG 「皆さん、分かりましたか?写真の印のところをスポットと云います。スポットは舌が一番リラックスできる位置なのです」

 「母乳で育てると舌は自然に正しい位置に置かれるようになるのです。また、乳を吸うには、舌の筋力が必要なので、その面でも鍛えられるのです」

 「子供はよく歯の矯正をやりますが、せっかく矯正しても舌の位置が悪いとまた元に戻ってしまうのです」

 「リラックスの口、を意識してください」

 「リラックスの口とは

①舌先をスポットにやわらかく置く
②奥歯がかみ合わず、浮いている
③口がやわらかく閉じている
④口や頬に力みがない

こんな状態を云うのですが、他の人からはちょっととぼけた表情に見えますが、これが良いのです」

 「食べる時としゃべる時以外は、一日中この状態を保って欲しいのです。次回までにぜひマスターしてきて下さい。リラックスの口が普段の口になるように!」

 「次回から舌のトレーニングをやりますが、必ずリラックスの口から始めますので、皆さんよろしく」

 「ということで、今日の講座はこれで終わります」

 と、皆さんに課題が出されて今日の講義は終了したのでした。

 相馬さんの分かりやすい説明に皆さん納得、大変面白い中に色々考えさせられた講座でした。次回が待ち遠しい感じです。

 皆さん、リラックスの口ですよ!


 




CONTENTS コンテンツ

いしかり市民カレッジ Facebookページはこちら

カレッジ生募集中

ボランティアスタッフ募集中 詳細はこちらから

いしかり市民カレッジ事務局

〒061-3217
石狩市花川北7条1丁目26
石狩市民図書館内社会教育課
Tel/Fax
0133-74-2249
E-mail
manabee@city.ishikari.hokkaido.jp

ページの先頭へ

ご意見・お問い合わせプライバシーポリシーサイトマップ